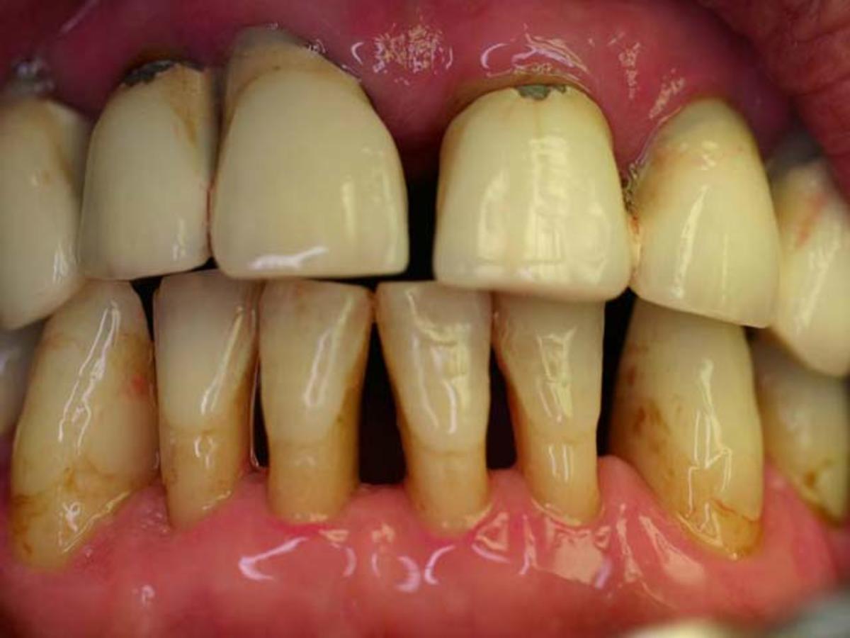
Tooth Decay And Gingivitis. Over time, your gums swell and bleed easily. It commonly occurs because a film of plaque, or bacteria, accumulates on the teeth.
Rosen's Rants How Diabetes Affects Gum Disease from drsethrosen.blogspot.com
Years ago, sooner or later, with such gingivitis, the loss of the tooth would have been inevitable. Dental plaque is a sticky film of bacteria and food debris that accumulates on your teeth every time you consume any food or drink. Gingivitis is a common infection of the gums.
Gingivitis Is A Common Infection Of The Gums.
The one way to prevent tooth decay and gingivitis is through consistent, proper oral hygiene: Thuja is excellent among homeopathic medicines for gingivitis with tooth decay next to the gums affected with gingivitis. Symptoms include red, swollen gums or gums that easily bleed.
Over Time, Your Gums Swell And Bleed Easily.
Use oramd as mouthwash twice a day: Years ago, sooner or later, with such gingivitis, the loss of the tooth would have been inevitable. Today dentistry is much further.
A Cavity Is A Very Small Hole That Forms On The Surface Of A Tooth.
Brushing your teeth too hard and mechanical disorders that damage the gums on the neck of the tooth can result in gingivitis that is not visible to the naked eye. Gingivitis means inflammation of the gums, or gingiva. Gingivitis) is far more common than you think.
Nevertheless, Mothers Are Known To Face Tooth Decay And Gingival Problems During Pregnancy.
Gingivitis is usually caused by the accumulation of what is known as dental plaque around your teeth and gums. With poor oral hygiene, the plaque forms a thick coat over the surface of your teeth and between them. Dental plaque is a sticky film of bacteria and food debris that accumulates on your teeth every time you consume any food or drink.
Prevents Tooth Decay And Reduces Gingivitis.
Gingivitis is a reversible condition. It commonly occurs because a film of plaque, or bacteria, accumulates on the teeth. If untreated, it can continue and lead to gum loss.
Can A Cavity Grow Under A Filling . If they haven’t broken through the enamel, they might even reverse. Note the fillings with overhangs or ledges of filling material that stick out beyond the tooth. How Long Would It Take To Fill A Cavity inspire ideas 2022 from ac2.coloradosph.org It is either by negligence or on purpose. In the scale of fractures where the remainder of the filling may still be functional and tight, fluid from the mouth can reach the tooth structure through the crack and start a decay lesion. However, the area will need to be monitored closely because the seal of a filling is not as strong and could possibly leak over time.
Tooth Decay Reverse Naturally . Dentists usually say that tooth decays must be drilled and treated with fillings, but the fact is that there is a way to reverse tooth decay in a completely natural way. Diets and lifestyle have played an important part in oral health. 8 Simple Ways to Naturally Reverse Cavities and Heal Tooth from brightside.me In fact, according to a study published in the british medical journal, cavities and tooth decay could potentially be reversed with diet. The periodontium that surrounds the natural tooth consists of the following components: Tooth decay can be stopped or reversed at this point.
Radioactive Decay And The Half Life Worksheet Answers . This page is about gizmo half life answer keycontains. Radioactive decay and half life doc 30 kb radioactive decay transmutation doc 82 kb nuclear chemistry test review doc 126 kb nuclear chemistry test review answer key doc 130 kb half life examples worksheet doc 34 kb video energy from the nucleus electrical energy from fission doc 28 kb video natural transmutation doc 32 kb. Radioactive Decay Worksheet Answers Alpha And Beta Decay from siaborde.blogspot.com 0 003 seconds x 1 half life 3 half lives 0 001 second after 0. This maze activity is a great way to reinforce and review radioactive decay each atom picture contains a question nuclear energy. Use your graph above and the missing persons report to.
Comments
Post a Comment